
Welcome to Great Divide Dental
Helena’s Top Cosmetic Dentist
Nothing makes our day quite like hearing our patients express how they’ve been smiling more due to the cosmetic dental work received at our office.
If you’re unhappy with your smile, we proudly offer a wide variety of different cosmetic dentistry approaches to help you improve your dental health and strengthen your teeth.
Contact Us
If you feel you have a dental emergency and are in need of immediate care, please contact our office:

General Cosmetic
Exceptional Patient Care
Here at Great Divide Dental, we are committed to providing our patients with a positive dental experience, offering relaxed and comfortable care. From veneers to professional teeth whitening, Great Divide Dental has the service for you to help you gain the confidence to smile more.
Whether you’re seeking preventive care to protect your dental health or simply looking for services to correct imperfections, our care team is dedicated to being there for you through every step of the process.

“Our patients deserve the highest quality care we can deliver and courteous, attentive treatment. Treat them, as you would like to be treated and always exceed their expectations.”
—DR. BEN SPIGERWhitening
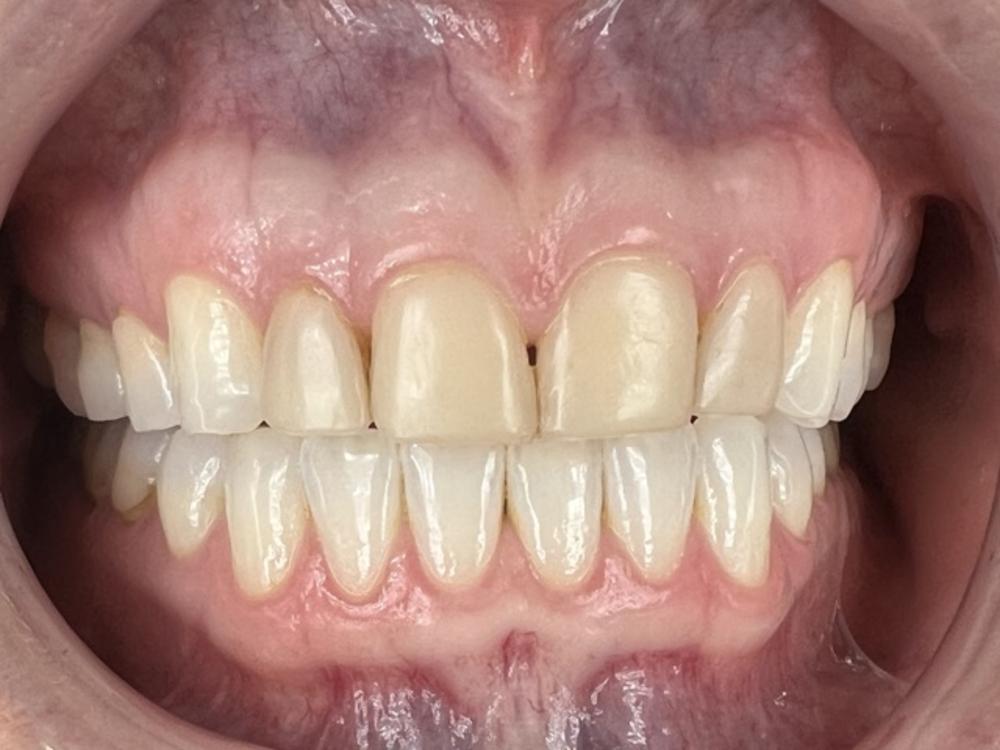
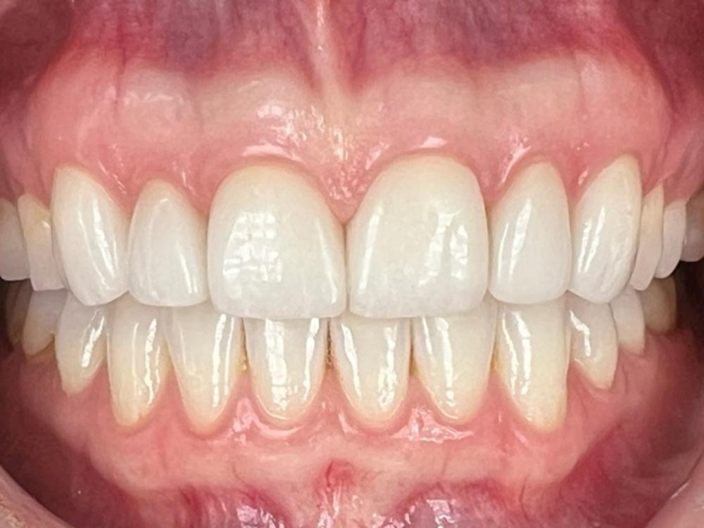
Cosmetic teeth whitening is a cost-effective way to safely enhance your smile and confidence. Our professional teeth whitening services will help you achieve a smile you’re proud to show off. Over time, our teeth can loose their luster and shine, whether it’s due to coffee consumption or foods with strong pigments — leading to staining and discoloring over time. Although in many cases the solution is to simply whiten your teeth, when patients have more severe cases we offer both whitening services combined with other cosmetic services.


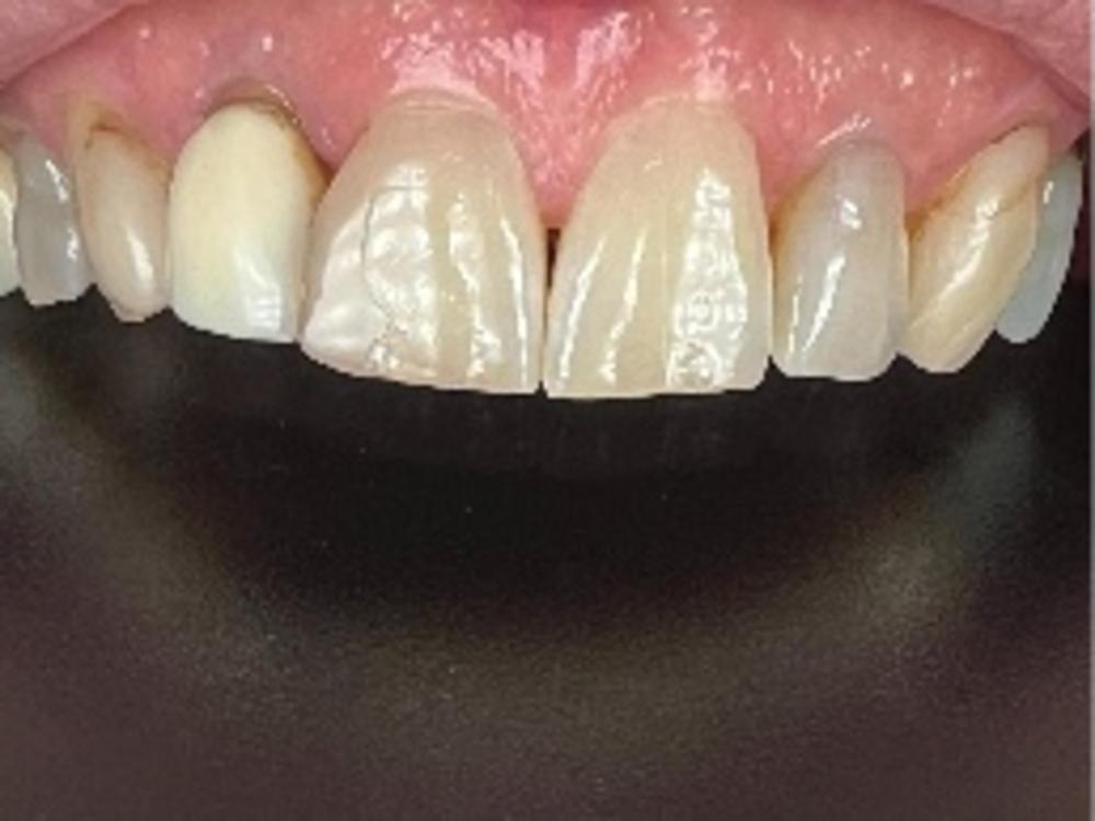
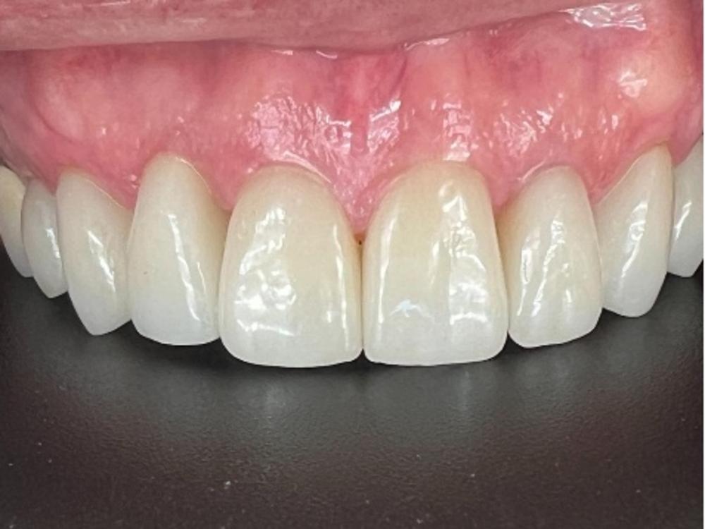
a1

b1

a2

b2
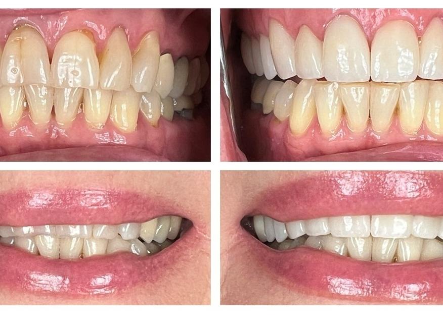
Veneers & Crowns
Veneers and crown dental services are a great way to prevent the risk of future decay, by almost 90%, and offer a long-lasting solution to patients. Veneers are wafer-thin and are usually made out of porcelain or resin, carefully designed to cover the tooth entirely while mirroring the look and function of a real tooth.
If your case is more severe, we recommend crowns. Crowns are often referred to as “caps”, but they are curated to cover a tooth entirely while maintaining the full function of your real tooth. Crowns are proven to strengthen weakened teeth, preventing future decay, breakage, or further damage.
The benefits of crowns include:
- Strengthening the tooth, making fracture impossible
- Decrease the risk of future decay by 90%
- They look natural and beautiful
- They are the most durable way to repair a broken tooth
- Crowns can correct minor discrepancies in tooth size or shape
Work with Great Divide Dental Today
Join our network of happy patients and book with Great Divide Dental today!

couple on a bench taking a selfie
Brightening Lives One Smile At A Time












The technician who cleaned my teeth did the best cleaning I have ever had. She was thorough, gentle, professional, and vey personable. She had everything prepared for Dr. Spiger who is always an exemplary dentist. Great Divide Dental is clearly the best Dental Service Provider in Helena.
Web Development by JTech Communications© 2026 Great Divide Dental